With Our Premium Veneers
Porcelain veneers at our clinic are designed to transform your smile with precision, artistry, and a natural finish. These ultra-thin, custom-made shells are bonded to the front of your teeth to correct imperfections such as discoloration, chips, gaps, and minor misalignment. Our team carefully plans each case to ensure your veneers complement your facial features and blend seamlessly with your natural teeth. With a focus on detail, comfort, and long-lasting results, we create brighter, more balanced smiles that enhance your overall confidence.
What We Offer
We provide a complete range of porcelain veneer services, designed to enhance your smile with precision, artistry, and natural-looking results:
1. Initial Consultation and Smile Assessment
We begin with a detailed evaluation of your teeth, smile, and facial features to understand your goals and determine if veneers are the right solution for you.
2. Smile Design and Treatment Planning
Our team carefully plans your new smile, considering tooth shape, size, color, and alignment to ensure the final result complements your overall appearance.
3. Tooth Preparation
A minimal amount of enamel is gently reshaped to prepare the teeth for veneers, allowing for a natural fit while preserving as much of your original tooth structure as possible.
4. Custom Veneer Fabrication
Your veneers are custom-crafted using high-quality porcelain materials, designed to mimic the translucency and beauty of natural teeth.
5. Veneer Placement and Bonding
Once ready, the veneers are securely bonded to your teeth with precision, instantly transforming your smile with a smooth, natural finish.
6. Final Adjustments and Follow-up Care
We make any necessary refinements to ensure comfort and aesthetics, and provide guidance on maintaining your veneers so they remain beautiful and long-lasting.


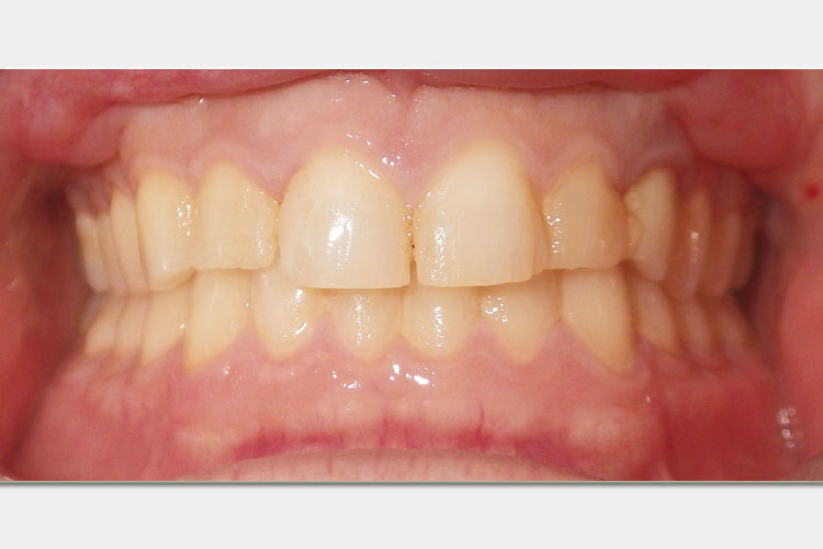
A Perfect Smile with Custom Veneers
The before-and-after comparison of this patient showcases the dramatic improvement porcelain veneers can achieve in a short time. Discoloration, uneven edges, and minor misalignment have been beautifully corrected, resulting in a brighter, more symmetrical smile. Each veneer is carefully crafted and placed to enhance the natural appearance of the teeth while maintaining harmony with the patient’s facial features. The final result reflects not only an aesthetic upgrade but also a boost in confidence, highlighting the precision and artistry behind every smile we create.
Our Services
Our clinic provides comprehensive dental solutions delivered with precision, technology, and genuine patient care. From cosmetic enhancements to restorative implants and advanced Invisalign treatments, we focus on offering high-quality services that support lasting oral health and overall wellbeing.


