Serving Columbia, MD

Dental Care You Can Trust!

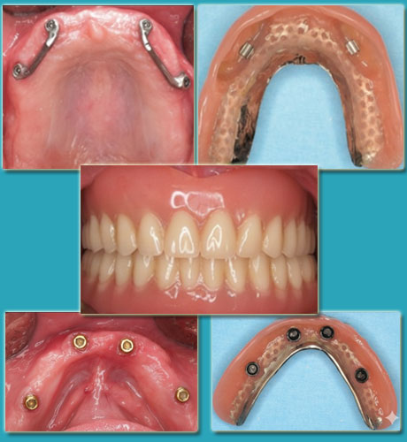
Implant Overdentures

Implant-Retained Dentures & Overdentures

An Overview

Implant-Retained Dentures & Overdentures provide a secure and comfortable solution for patients who are missing multiple teeth or struggle with loose traditional dentures. This treatment combines the stability of dental implants with the affordability and flexibility of removable dentures. Small titanium implants are placed in the jawbone to firmly anchor the denture, significantly improving retention, chewing ability, and overall confidence compared to conventional removable options.

Each implant-retained denture plan is carefully tailored to the patient’s bone condition, oral health, and aesthetic goals. By strategically positioning a limited number of implants, this approach enhances stability while often minimizing the need for complex surgical procedures. The result is a natural-looking smile with improved comfort, better function, and a dependable fit that allows patients to speak and eat with greater ease. 

Over Dentures Implant

Implant-Retained Dentures Benefits

Conditions We Treat:

Implant-retained dentures are ideal for patients who experience instability, discomfort, or functional limitations with traditional removable dentures. This treatment offers improved support and confidence when conventional options no longer provide a secure or comfortable fit. Below are common conditions successfully managed with implant-retained overdentures.

Multiple Missing Teeth
Patients who have lost several or all teeth in one arch often struggle with chewing and speech. Implant-retained dentures restore function and provide a stable, natural-looking replacement.

Loose or Ill-Fitting Dentures
Traditional dentures may slip, shift, or cause sore spots. Implant support significantly improves retention and reduces movement during eating or speaking.

Difficulty Chewing Food
Poor denture stability can limit food choices and nutrition. Implant anchorage increases bite strength and allows patients to enjoy a wider variety of foods.

Speech Difficulties
Unstable dentures may click or move while talking. Implant-retained solutions help improve clarity and confidence in speech. 

Jawbone Shrinkage (Bone Loss)
Over time, missing teeth can lead to bone resorption and poor denture fit. Dental implants stimulate the jawbone and help maintain facial structure and denture stability.

Denture Discomfort or Soreness
Pressure points and gum irritation are common with removable dentures. Implant-retained overdentures distribute force more evenly, improving overall comfort.

Treatment Process

The Implant-Retained Denture & Overdenture treatment process begins with a comprehensive consultation, digital imaging, and careful evaluation of bone levels, gum health, and existing dentures. Based on this assessment, a small number of dental implants are precisely placed in the jaw to act as secure anchors. After a healing period that allows the implants to integrate with the bone, attachment components are fitted and a custom denture is designed or modified to snap firmly into place. The final result is a stable, comfortable prosthesis that improves chewing efficiency, speech clarity, and overall confidence while maintaining a natural appearance.

We Create Confidence Through Care!

FAQs

What is an implant-retained denture (overdenture)?
An implant-retained denture is a removable denture that securely attaches to dental implants placed in the jaw. The implants act like anchors, preventing the denture from slipping while still allowing it to be removed for cleaning.
How is it different from traditional dentures?
Traditional dentures rest only on the gums and can move or loosen over time. Implant-retained dentures are supported by implants, providing greater stability, better chewing ability, and improved comfort.
How many implants are needed?
Most cases require 2–4 implants per arch, depending on bone quality, jaw shape, and the level of stability desired. Your dentist will determine the ideal number during consultation.
Is the procedure painful?
The implant placement is typically performed under local anesthesia, and many patients report only mild discomfort afterward. Any soreness is usually manageable with standard pain relief and subsides within a few days.
How long does the treatment take?
Treatment time varies by patient, but generally ranges from 3 to 6 months. This includes healing time for the implants to fuse with the bone before the final denture is secured.
Can I remove the denture myself?
Yes. Implant-retained overdentures are designed to be removable by the patient for daily cleaning and maintenance, while still remaining firmly in place during normal use.
Am I a good candidate for implant-retained dentures?
Most healthy adults with missing teeth and sufficient jawbone are candidates. Even patients with some bone loss may still qualify, sometimes with minor preparatory procedures.
How do I clean and maintain them?
Daily removal and brushing of the denture, along with regular oral hygiene and dental checkups, are essential. Proper care helps extend the life of both the denture and the implants.

Excellence In Every Detail

Request For an Appointment

    Dental Care You Can Trust!

    Our Clients