An Overview
Dental implants are a modern and highly effective solution for replacing missing teeth, restoring both function and aesthetics. Unlike traditional dentures or bridges, implants are anchored directly into the jawbone, providing a stable and long-lasting foundation for replacement teeth. This approach not only enhances your ability to chew and speak comfortably but also helps preserve the structure of your jawbone, preventing the bone loss that often accompanies tooth loss. Dental implants are designed to mimic the look, feel, and function of natural teeth, offering a permanent solution that can significantly improve your oral health and confidence.
The process of getting dental implants involves careful planning and personalized treatment to ensure the best results. Implants can replace a single tooth, multiple teeth, or even support a full set of upper or lower teeth, making them a versatile option for a variety of dental needs. With advances in technology and materials, dental implants are now more predictable, comfortable, and aesthetically pleasing than ever before. Whether you’re seeking to restore your smile, improve your bite, or maintain long-term oral health, dental implants offer a reliable and natural-looking solution that can transform your overall quality of life.
Dental Implant Benefits
- Natural Appearance
- Improved Chewing
- Enhanced Speech
- Bone Preservation
- Long-Lasting Solution
- Easy Maintenance
- Comfortable Fit
Conditions We Treat:
Dental implants offer a versatile solution for a wide range of tooth loss scenarios, helping patients regain both function and confidence. Whether you are missing a single tooth, several teeth, or an entire arch, our dental implant treatments are designed to provide long-lasting, natural-looking results tailored to your needs.
Single Tooth Implant / Multi-Tooth Implant
For patients missing one or a few teeth, single or multi-tooth implants provide a stable and permanent replacement. These implants are anchored directly into the jawbone, restoring the natural appearance and function of your teeth without affecting the surrounding healthy teeth.
All-on-4 / All-on-6 / Full Arch Implant
When multiple teeth or an entire arch are missing, All-on-4 or All-on-6 implants offer a comprehensive solution. By strategically placing four to six implants, we can support a full set of replacement teeth, providing a secure and efficient way to restore your smile with fewer procedures.
Implant-Retained Dentures
For patients who struggle with traditional dentures, implant-retained dentures offer superior stability and comfort. These dentures snap securely onto implants, reducing slipping or discomfort while improving chewing efficiency and confidence in everyday activities.
Treatment Process
The dental implant treatment process begins with a comprehensive consultation and examination, including X-rays and, if needed, 3D imaging to assess bone structure and plan the placement. The implant, a small titanium post, is then surgically placed into the jawbone, where it fuses with the bone over several months in a process called osseointegration. Once fully integrated, a custom-made abutment and crown, bridge, or denture are attached to the implant, restoring the appearance, function, and strength of your natural teeth. Throughout the process, our team ensures careful planning, precision, and personalized care for optimal results and lasting oral health.
Implant Bridge
This case demonstrates how an implant-supported bridge can effectively restore both function and appearance when multiple teeth are missing. The patient presented with two missing teeth in the lower front jaw, which impacted not only the look of his smile but also his ability to bite properly and speak with full confidence. By placing dental implants and securing a custom-designed bridge, we were able to close the gap with a solution that feels stable, natural, and long-lasting.




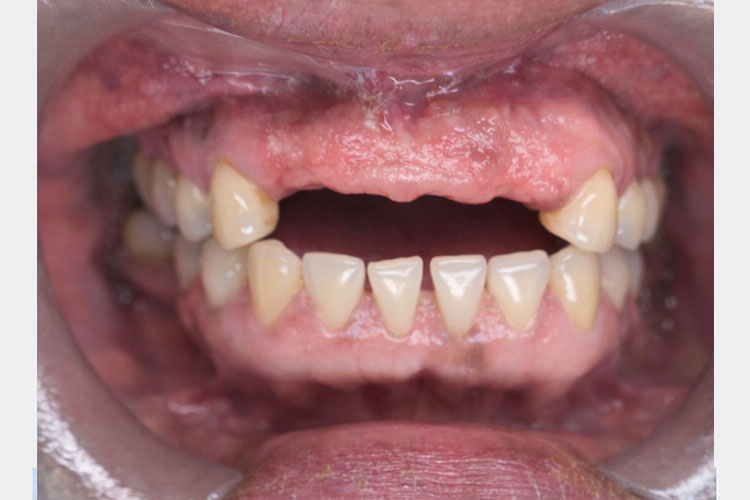
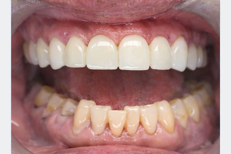
Upper Bridge Replacing Missing Teeth
This patient received an upper dental implant bridge to replace missing teeth and restore the smile. The bridge blends naturally with the surrounding teeth, improving both appearance and function while helping the patient smile and eat with confidence.
FAQs
Who is a good candidate for implants?
How long do dental implants last?
Is the procedure painful?
How long does the treatment take?
What is guided implant surgery?
Why are implants a better option for replacing missing teeth?
Am I ready to restore my smile with dental implants?
Request For an Appointment
Our Clients

kazem r.
- Dental Care

Andrew F.
- Dental Care

Janine G.
- Dental Cleaning