An Overview
All-on-X Full-Mouth Implants offer a permanent solution for patients who are missing most or all of their teeth. This advanced implant technique uses a carefully planned number of dental implants to support a full arch of fixed replacement teeth. Unlike removable dentures, All-on-X restorations are stable, secure, and designed to look, feel, and function like natural teeth.
Each All-on-X treatment plan is customized based on your jawbone condition, oral health, and functional needs. By strategically placing implants for maximum support, this approach often reduces the need for extensive bone grafting while delivering strong, long-lasting results. The outcome is a restored smile with improved comfort, confident function, and enhanced quality of life.
All-on-X Full-Mouth Implants Benefits
- Fixed Full Teeth
- Strong Bite Support
- Natural Appearance
- Improved Chewing
- No Removable Dentures
- Bone Preservation
- Long-Lasting Solution
- Increased Confidence
Conditions We Treat:
All-on-X Full-Mouth Implants are designed for patients with extensive tooth loss or severely compromised oral health. This treatment provides a stable, long-term solution when traditional restorations or removable dentures are no longer effective. Below are common conditions successfully treated with All-on-X.
Complete Tooth Loss
Patients who have lost all teeth in the upper or lower jaw can benefit from All-on-X implants. The procedure restores a full set of fixed teeth, improving chewing, speech, facial support, and overall quality of life.
Severely Damaged or Failing Teeth
Teeth affected by advanced decay, fractures, or repeated dental work may no longer be salvageable. All-on-X allows these teeth to be removed and replaced with a stable, implant-supported full arch restoration.
Advanced Gum Disease
Severe periodontal disease can lead to bone loss and loose teeth. All-on-X implants can restore function after diseased teeth are removed, providing a secure solution while helping maintain jawbone structure and oral stability.
Loose or Uncomfortable Dentures
Patients struggling with ill-fitting dentures often experience discomfort and reduced confidence. All-on-X replaces removable dentures with fixed teeth that stay securely in place, offering greater comfort, improved function, and a more natural feel.
Bone Loss in the Jaw
Bone loss can make traditional implants challenging. All-on-X uses strategically angled implants to maximize available bone, often reducing or eliminating the need for bone grafting while still providing strong support for full-mouth restorations.
Treatment Process
The All-on-X Full-Mouth Implant treatment process begins with a detailed consultation, digital imaging, and 3D planning to evaluate bone structure and oral health. Any failing teeth are removed, and implants are strategically placed to support a full arch of teeth. A temporary fixed restoration may be provided while healing occurs, followed by a custom-designed permanent prosthesis that restores function, comfort, and a natural-looking smile.
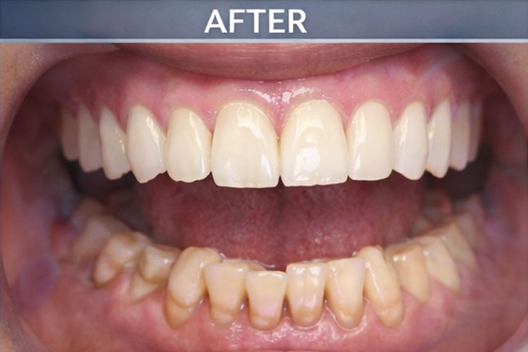
All-On-6 Implant
This patient received our All-on-6 Upper Arch Implant Treatment, a modern solution designed to restore a full, natural-looking smile using six strategically placed dental implants to support a fixed prosthetic arch. This treatment provides excellent stability, improved chewing function, and long-lasting results while closely mimicking the appearance and feel of natural teeth.


FAQs
What is the all-on-x process?
How many implants are used in All-on-X?
Is All-on-X better than dentures?
How long does the All-on-X treatment take?
Who is a good candidate for All-on-X?
How long do All-on-X implants last?
Request For an Appointment
Our Clients

kazem r.
- Dental Care

Andrew F.
- Dental Care

Janine G.
- Dental Cleaning