Fix Your Overbite with Invisalign Treatment
At our clinic, we offer Invisalign treatment as an effective and discreet solution for correcting overbite for patients of all ages. Using a series of custom-made clear aligners, we gradually adjust the position of your teeth and improve your bite alignment. This modern approach allows you to achieve a healthier, more balanced smile without the discomfort and visibility of traditional braces. Our personalized treatment plans ensure precise results while fitting comfortably into your daily lifestyle.
What We Offer
We provide a complete Invisalign treatment program designed to effectively correct overbite and improve overall bite alignment, including:
1. Initial Consultation and Bite Assessment
We begin with a comprehensive dental examination and digital 3D scan to evaluate your bite and jaw alignment. This helps us determine the severity of your overbite and the best treatment approach.
2. Customized Treatment Planning
Using advanced digital technology, we create a personalized Invisalign treatment plan that gradually repositions your teeth and corrects your bite. You can preview the expected results before starting.
3. Custom Clear Aligner Fabrication
Your aligners are custom-made to fit your teeth precisely. Each set is designed to gently shift your teeth into proper alignment while addressing your overbite over time.
4. Progressive Bite Correction
You will wear a series of aligners, changing them every one to two weeks. This gradual process helps reposition your upper and lower teeth for a more balanced and functional bite.
5. Monitoring and Follow-up Care
We schedule regular check-ups to monitor your progress and ensure your treatment is progressing as planned. Adjustments are made when necessary to achieve optimal results.
6. Retention and Long-Term Stability
Once your treatment is complete, we provide retainers and guidance to maintain your new bite and prevent relapse, ensuring long-lasting results.


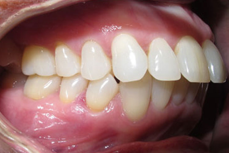
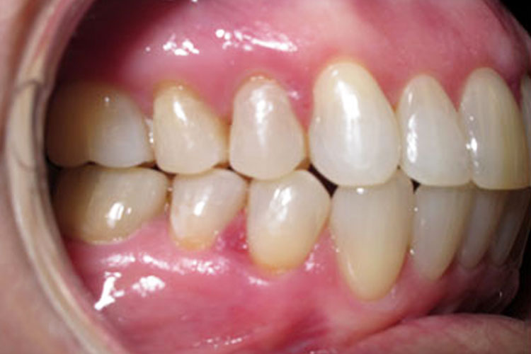
Balanced Bite, Beautiful Smile
In this patient, the result highlights how Invisalign can greatly correct an overbite by improving the relationship between the upper and lower teeth. Beyond aesthetics, the treatment enhances bite function, reduces strain on the teeth, and creates a more natural, well-balanced smile.
Our Preferred Financing Partner of Invisalign
Here we introduce HFD, our financing partner, offering flexible and affordable financing options designed specifically for patients considering Invisalign treatment. They provide tailored payment plans that make it easier to move forward without financial stress. We believe that achieving a confident, healthy smile should be accessible to everyone.
Our Services
Our clinic provides comprehensive dental solutions delivered with precision, technology, and genuine patient care. From cosmetic enhancements to restorative implants and advanced Invisalign treatments, we focus on offering high-quality services that support lasting oral health and overall wellbeing.


