Invisalign Aligners Solutions
- Custom Made
- Comfortable Fit
- Removable Aligners
- No Metal Braces
- Eat Normally
- Digital Planning
- Fewer Visits
- Flexible Lifestyle
Request for Price Guide
Want clear, upfront pricing for Invisalign® Aligners?
Complete the “Request for Price Guide” form to get instant access to our comprehensive Invisalign® Aligners Price Guide (PDF). You receive it directly in your email. Please check your spam or junk folder as well.
Our Clients' Testimonials

Susan Tremblay
- Invisalign® Aligners

David Smith
- Invisalign® Aligners

Richard Taylor
- Invisalign® Aligners
Make your dream smile a reality!
Call us at (410) 872-3999, or book your appointment today!
See What's Possible!
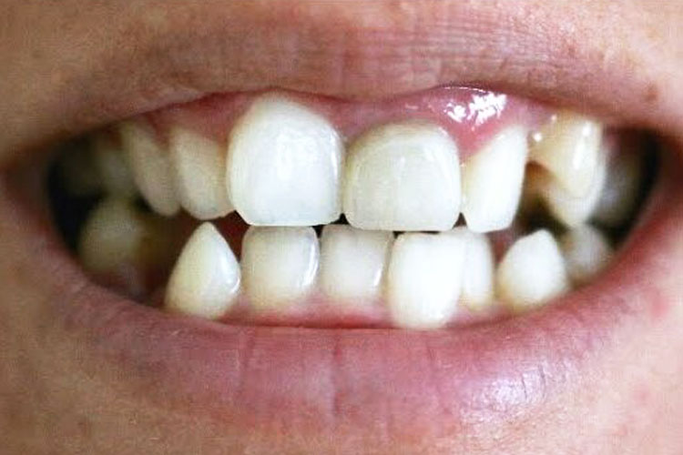
A Straighter Smile at a Young Age
This teenage patient came to us with noticeable misalignment in both the upper and lower teeth, which affected overall balance and bite. Through a carefully planned clear-aligner treatment, the teeth were gradually guided into proper position. The result is a well-aligned, natural-looking smile that fits harmoniously with the patient’s facial features, achieved comfortably and without traditional braces.




Refined Alignment, Renewed Expression
In her early thirties, this patient wanted a subtle yet meaningful improvement to the spacing and unevenness in her smile. Using a customized clear-aligner plan, each stage of movement was digitally mapped to ensure precision and comfort throughout the process. The final outcome reveals a smoother, more balanced smile that complements her natural features and enhances everyday appearance without the visibility of traditional orthodontics.
Invisalign® Aligners Procedure
Our dental team has extensive experience providing Invisalign Aligners treatment, helping patients achieve straighter smiles with precision and comfort. From your initial consultation to your final set of aligners, the process is carefully planned, minimally invasive, and tailored to your unique dental structure. You can expect a smooth, discreet, and well-guided journey supported by advanced digital technology and attentive professional care.
- A comprehensive consultation is completed, including photographs, digital scans, and bite analysis to evaluate your smile and goals.
- Advanced 3D digital imaging is used to design a personalized step-by-step tooth movement plan.
- You are shown a digital preview of your expected results before treatment begins.
- A custom series of clear aligners is fabricated specifically for your teeth.
- Each set of aligners is worn for about 1–2 weeks, gently shifting teeth into improved positions.
- Periodic check-ups are scheduled to monitor progress and provide the next aligner sets.
- Minor refinements may be made near the end of treatment to perfect alignment.
- Once treatment is complete, retainers are provided to maintain your new smile and prevent shifting.
Our Preferred Financing Partner of Invisalign
Here we introduce HFD, our financing partner, offering flexible and affordable financing options designed specifically for patients considering Invisalign treatment. They provide tailored payment plans that make it easier to move forward without financial stress. We believe that achieving a confident, healthy smile should be accessible to everyone.