An Overview
Cosmetic dentistry focuses on enhancing the appearance of your teeth, smile, and overall facial aesthetics while maintaining optimal oral health. These services go beyond routine dental care, offering solutions for teeth whitening, veneers, bonding, reshaping, and more. Whether you want to correct discoloration, chips, gaps, or misalignment, cosmetic dentistry provides personalized treatments designed to give you a brighter, more confident smile.
In addition to improving appearance, cosmetic dentistry can also support the function and durability of your teeth. Modern techniques and materials ensure that treatments are both natural-looking and long-lasting. From subtle enhancements to full smile makeovers, cosmetic dentistry combines artistry and science to help patients achieve a healthy, beautiful smile that complements their unique features and boosts self-confidence.
Cosmetic Dentistry Benefits
- Brighter Smile
- Corrects Imperfections
- Boosts Confidence
- Enhances Appearance
- Long-Lasting Results
- Strengthens Teeth
- Natural Look
Conditions We Treat:
Cosmetic dentistry offers a wide range of treatments to enhance your smile, improve facial aesthetics, and restore confidence. Whether you are looking for subtle enhancements or a complete transformation, our services are designed to address a variety of cosmetic concerns while maintaining your oral health.
Smile Makeovers
Smile makeovers are customized treatments that combine multiple cosmetic procedures to completely enhance the appearance of your teeth and smile. By addressing issues such as discoloration, misalignment, gaps, and worn teeth, we can create a harmonious and radiant smile tailored to your unique facial features.
Ceramic Crowns / Veneers
Ceramic crowns and veneers provide a natural-looking solution for damaged, chipped, or discolored teeth. These restorations are crafted to match the color, shape, and size of your natural teeth, offering both aesthetic improvement and structural support for long-lasting results.
Full Mouth Rehabilitation
Full mouth rehabilitation is a comprehensive approach for patients with extensive dental issues, combining restorative and cosmetic treatments to restore function, alignment, and appearance. This treatment plan addresses both the health and aesthetics of your teeth, giving you a fully functional and attractive smile.
Botox & Dermal Fillers
Botox and dermal fillers can complement dental cosmetic treatments by enhancing facial aesthetics and reducing signs of aging. Administered with careful attention to facial nerves and safety, these treatments help smooth wrinkles, restore volume, and improve overall facial balance, contributing to a youthful and refreshed appearance.
Treatment Process
The cosmetic dentistry treatment process begins with a thorough consultation and evaluation, where your goals, dental health, and facial aesthetics are carefully assessed. Based on this, a personalized treatment plan is created, which may include procedures such as teeth whitening, veneers, crowns, smile makeovers, or facial treatments like Botox and dermal fillers. Each procedure is performed with precision and attention to detail to ensure natural-looking results, improved function, and long-lasting outcomes. Throughout the process, our team prioritizes comfort, safety, and patient education to help you achieve a radiant, confident smile.


Smile Makeover (Correction of Shape & Color)
This smile makeover involved cosmetic dental treatment to improve both the shape and color of the teeth. Using carefully designed restorations and aesthetic techniques, the teeth were reshaped and brightened to create a more balanced and harmonious smile. By correcting discoloration, uneven edges, and minor imperfections, the treatment enhanced the overall appearance of the smile while maintaining a natural and healthy look.
Transforming Smiles with Custom Dental Veneers
This patient received custom dental veneers to enhance the shape, color, and alignment of their teeth, creating a brighter and more harmonious smile. By carefully designing and placing thin, durable porcelain shells over the front surfaces of the teeth, imperfections such as discoloration, minor gaps, or uneven edges were corrected without invasive procedures.




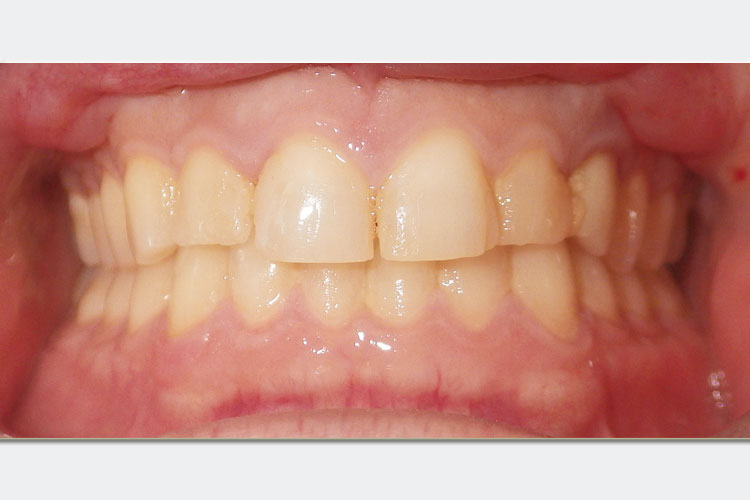
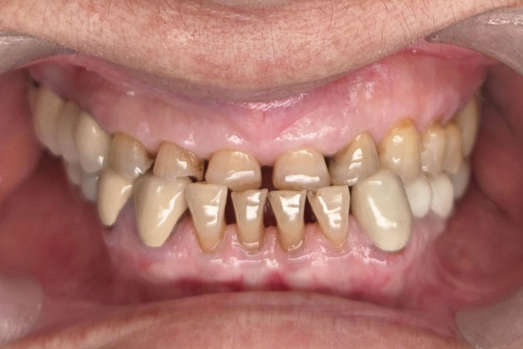
Upper Smile Make Over
This patient underwent a comprehensive upper smile makeover to address severe tooth wear and a noticeable crossbite affecting the front teeth. Years of wear had shortened and weakened the teeth, impacting both the aesthetics of the smile and overall function. Using high-quality zirconia crowns, we were able to rebuild the proper shape, length, and alignment of the upper teeth while correcting the crossbite for a more harmonious bite relationship. Zirconia was carefully selected for its exceptional strength, durability, and lifelike appearance, allowing us to achieve a natural, radiant smile that complements the patient’s facial features.
Transforming Smiles with Custom Dental Veneers
This patient received custom dental veneers to enhance the shape, color, and alignment of their teeth, creating a brighter and more harmonious smile. By carefully designing and placing thin, durable porcelain shells over the front surfaces of the teeth, imperfections such as discoloration, minor gaps, or uneven edges were corrected without invasive procedures.




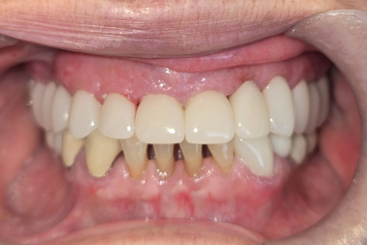
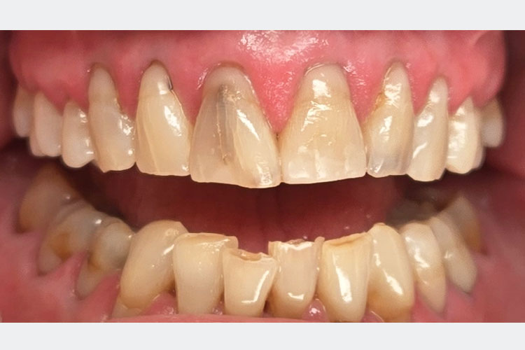
Smile Makeover with Zirconia Crowns
This patient received an Upper Arch Smile Makeover using Zirconia Crowns, designed to restore both the appearance and strength of the upper teeth. Zirconia crowns are known for their durability, natural color, and excellent aesthetic results. By carefully reshaping and covering the upper teeth with custom-made zirconia crowns, we were able to correct discoloration, uneven shapes, and worn teeth.
FAQs
Who can benefit from cosmetic dentistry?
How do I get started with cosmetic dentistry?
What is a smile makeover?
How many teeth will be in my smile makeover?
What does the smile makeover process look like?
What material will my restorations be made out of?
Are cosmetic procedures safe?
How long do results last?
Is the treatment painful?
Why botox for grinding clenching?
What are facial fillers?
What is a liquid face lift?
Why should I see a trained dentist for my facial botox and fillers?
Request For an Appointment
Our Clients

kazem r.
- Dental Care

Andrew F.
- Dental Care

Janine G.
- Dental Cleaning