With High-Quality Ceramic Crowns
Ceramic crowns at our clinic are carefully designed to restore both the strength and natural beauty of your teeth with precision and care. Using high-quality materials and advanced techniques, we create custom crowns that match the color, shape, and feel of your surrounding teeth for a seamless result. From your initial consultation to the final placement, our team focuses on comfort, accuracy, and long-term durability, ensuring each restoration not only protects your tooth but also enhances your smile.
What We Offer
We provide a complete range of services for ceramic crowns, ensuring a smooth and comfortable experience from start to finish, with results that look natural and last for years:
1. Initial Consultation and Assessment
We begin with a comprehensive dental examination to evaluate the condition of your tooth and overall oral health. This allows us to determine if a ceramic crown is the best solution for your needs.
2. Tooth Preparation
The affected tooth is carefully reshaped to create the ideal foundation for the crown. Our precise and conservative approach helps preserve as much natural tooth structure as possible.
3. Digital Impressions and Shade Matching
We take accurate impressions and carefully select the shade of your crown to ensure it blends perfectly with your natural teeth for a seamless appearance.
4. Custom Ceramic Crown Fabrication
Your crown is custom-crafted using high-quality ceramic materials, designed to match the shape, size, and aesthetics of your smile while providing excellent strength and durability.
5. Crown Placement and Final Adjustments
Once your crown is ready, we securely place it and make any necessary adjustments to ensure a comfortable bite and natural look.
6. Follow-up Care and Maintenance
After placement, we provide guidance on proper care and schedule follow-up visits to ensure your crown remains in excellent condition and continues to support your oral health.


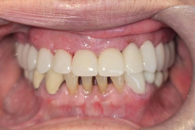
Full Mouth Crowns
This case demonstrates a comprehensive full-mouth rehabilitation using custom-designed dental crowns. The patient initially presented with significant wear, misalignment, and discoloration, which affected both function and appearance. Through careful planning and precision treatment, each tooth was restored with high-quality ceramic crowns, creating a balanced bite and a natural, harmonious smile. The final result not only enhances aesthetics but also improves chewing efficiency and overall oral health, giving the patient renewed comfort and confidence.
A Seamless Smile Restoration
This before-and-after comparison highlights the remarkable transformation that a ceramic crown can achieve. The damaged and weakened tooth has been restored to its natural shape, strength, and color, blending perfectly with the surrounding teeth. With precise craftsmanship and attention to detail, the final result not only improves the appearance of the smile but also reinforces the tooth for long-term function. This transformation reflects how our clinic combines advanced techniques with aesthetic expertise to deliver results that look and feel completely natural.


Full Mouth Crowns & Implants Combo
Due to extensive decay and multiple tooth fractures, this patient just relied on a lower partial denture for over a decade. He came for consultation seeking a more stable and functional solution to improve his chewing ability & overall oral comfort. Clinical evaluation revealed that only the lower anterior teeth remained, and these were significantly worn. Utilizing advanced 3D radiographic imaging and guided implant surgery, we precisely placed six dental implants in the lower arch to restore full function. The treatment allowed him to regain posterior support, enabling proper chewing for the first time in years. Additionally all fractured and compromised teeth in both the upper and lower arches were restored with durable, natural-looking ceramic crowns.


Our Services
Our clinic provides comprehensive dental solutions delivered with precision, technology, and genuine patient care. From cosmetic enhancements to restorative implants and advanced Invisalign treatments, we focus on offering high-quality services that support lasting oral health and overall wellbeing.


