Comfortable Solutions for Teeth Alignment
At our clinic, we offer Invisalign treatment as a modern and discreet solution for teens and even adults with crowded or rotated teeth. Using a series of custom-made clear aligners, we gently guide your teeth into proper alignment without the need for traditional braces. The treatment is comfortable, removable, and designed to fit seamlessly into your daily routine. Our goal is to help you achieve a straighter, healthier smile with a solution that is both effective and virtually invisible.
What We Offer
We provide a complete Invisalign treatment program designed specifically for those with crowded and rotated teeth. The treatment includes:
1. Initial Consultation and Assessment
We begin with a comprehensive dental examination and digital 3D scan to evaluate the alignment of your teeth and bite. This allows us to determine if Invisalign is the right solution for correcting crowding and rotation.
2. Customized Treatment Planning
Using advanced digital technology, we create a personalized treatment plan that maps out the gradual movement of your teeth. You’ll be able to preview how your smile will improve before starting treatment.
3. Custom Clear Aligner Fabrication
Your Invisalign aligners are custom-made to fit your teeth precisely. Each set of aligners is designed to gently and efficiently move your teeth into their ideal position over time.
4. Progressive Teeth Alignment
You will wear a series of aligners, changing them every one to two weeks as your teeth gradually shift. This process effectively corrects crowding and rotated teeth while remaining comfortable and discreet.
5. Monitoring and Follow-up Care
We schedule regular check-ups to monitor your progress and ensure your treatment stays on track. Adjustments are made as needed to achieve the best possible results.
6. Retention and Long-Term Maintenance
After your treatment is complete, we provide retainers and guidance to help maintain your new smile and prevent teeth from shifting back.


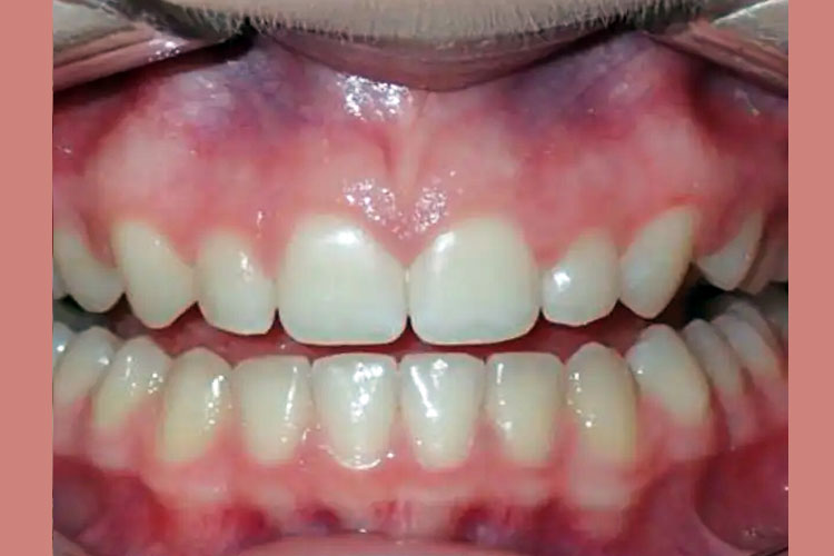
Precision Alignment. Beautiful Results.
This transformation highlights how Invisalign can effectively correct crowded and rotated teeth, creating a straighter, more balanced smile. With gradual, precise alignment, patients can achieve noticeable results in a comfortable and discreet way.
Our Preferred Financing Partner of Invisalign
Here we introduce HFD, our financing partner, offering flexible and affordable financing options designed specifically for patients considering Invisalign treatment. They provide tailored payment plans that make it easier to move forward without financial stress. We believe that achieving a confident, healthy smile should be accessible to everyone.
Our Services
Our clinic provides comprehensive dental solutions delivered with precision, technology, and genuine patient care. From cosmetic enhancements to restorative implants and advanced Invisalign treatments, we focus on offering high-quality services that support lasting oral health and overall wellbeing.


